Study design, materials and methods
To assess the clinical outcome of two surgical techniques used in Trans-obturator tape, we conducted a prospective randomized clinical trial involving 90 patients with stress urinary incontinence. Those patients were randomly allocated into two groups using sealed envelopes, patients were blinded to the type of intervention, informed consent were obtained for all patients prior to the surgery, 48 patients underwent the classical TOT procedure (group 1) using the vertical incision and 42 patients underwent the 2 para-median vaginal incisions (group 2). The clinical outcomes were analyzed at 3,6 and 12 months after surgery that included the continence after surgery whether the symptoms were cured, improved or showed no improvement as well the tape location was assessed using trans-labial ultrasound to assess the migration rate and its clinical impact. Other perioperative outcomes like duration of the operation, postoperative pain, pelvic pain, tape erosion and the appearance of DiNovo urgency were evaluated.
Results
Among the 90 patients enrolled in our study, 48 patients underwent the classical surgical technique representing group 1 and 42 patients underwent the two para-median incisions representing group 2. Continence at 3 months in group 1 was 70.8%, 22.9% showed improvement in symptoms while only 3 cases representing 6% of case showed no improvement while in group 2, cure rate was 78.6%, 16.7% showed improvement in symptoms while only 2 cases representing 4% showed no improvement. 41.1% of cases showed tape migration either proximal or distal by trans-labial ultrasound in group 1 resulting in recurrence rate of 25% of cases, on the other hand no migration was noted in group 2 up to 12 months postoperative.
Interpretation of results
Our technique involves a 2 paramedian incisions in the anterior vaginal wall each is 1cm long in the anterior vaginal wall 2 cm apart parallel to the urethra till identification of the mid urethral portion by palpating the catheter balloon through the vagina then a communication was done between the 2 incision 1 cm wide in this area creating a tunnel to place the tape, with this technique we minimize dissection along the urethra and we keep an island of tissues proximal and distal to the tape to stabilize the tape and avoid tape migration unlike the standard technique with larger tissue dissection at the peri-urethral space that undermine the tape stability later on.
Our study involved 90 patients with SUI randomly allocated into 2 groups, where 48 patients underwent the classical repair representing group 1 and 42 patients underwent the 2 paramedian incisions technique representing group 2, the mean age and body mass index of both groups are nearly the same. The mean operative time was slightly longer in our technique in group 2 42.98 ± 10.38 minutes compare to 33.46 ± 4.64 minutes in the standard technique.
The continence after surgery was evaluated after 3 months from surgery showing a cure rate of 70.8% in group 1 compared to 78% in group 2, 22% and 16 % of cases showed improvement in their symptoms in group 1 and 2 respectively, failure rate was almost the same in both groups representing 3 cases in standard technique and 2 cases in our technique. Follow up of our patients for 1 year postoperative revealed recurrence of symptoms in 5 cases in standard technique representing 10% of cases and 1 case of our technique representing 2.4% of the cases.
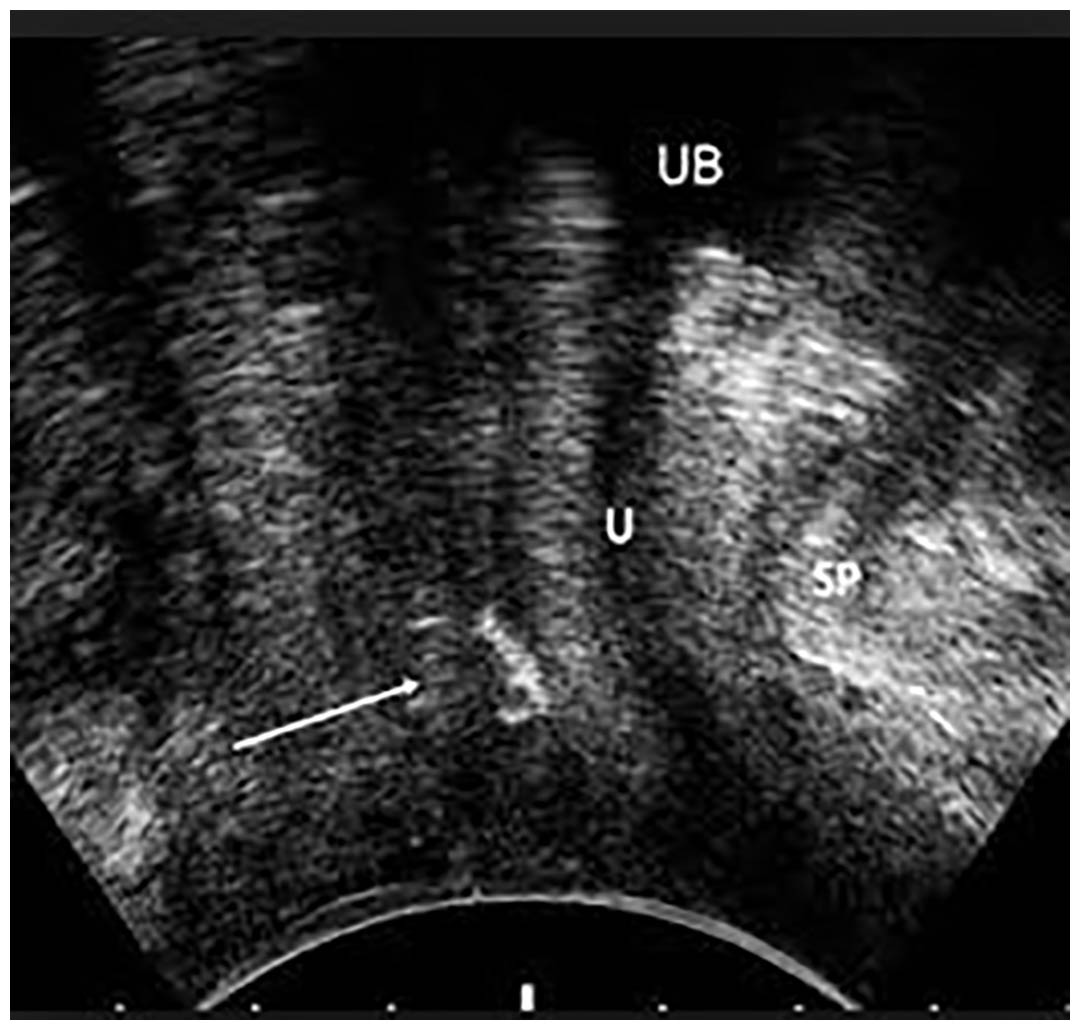
Trans-labial ultrasound was used to assess tape migration in the follow up period showing no migration of the tape for 1 year post-operative in our technique compared to a migration rate of 40 % in group 1 representing the standard technique that mainly occurred in the first 6 months, on evaluating the cases with tape migration and correlating with their clinical status, we noticed that 25% of the cases with tape migration showed recurrence in their symptoms in the standard technique especially to the distal urethra.
Di-Novo urgency was evaluated in our study showing incidence rate of 20% in group 1 compared to 7% in group 2 all responded well to the behavioral and pharmacological therapy, it was noticed that clinical status of urgency was correlated to the position of the tape thus appeared with the more proximal placement of the tape.
No post-operative urinary retention was noted in our patients in both groups. Pelvic pain was noted in 4 cases in our technique compared to 1 case in the standard technique and only one case of vaginal erosion was encountered in group 1 after 2 month of surgery that required tape removal.
From our study, our new technique showed no tape migration compared to 40% migration rate in the standard technique, 25 % of the cases that showed recurrence of symptoms could be attributed to tape migration especially distal migration. Postoperative urgency was seen clinically correlated to tape placement in the proximal urethra and near the bladder neck.