PEROXISOME PROLIFERATOR-ACTIVATED RECEPTOR GAMMA AGONIST AS A NOVEL TREATMENT FOR INTERSTITIAL CYSTITIS: A RAT MODEL

Comiter C1, Dobberfuhl A1, Mahal A2

Research Type

Pure and Applied Science / Translational

Abstract Category

Pelvic Pain Syndromes

Abstract 367
Sensory Function and Fibrosis
Scientific Podium Short Oral Session 24
On-Demand
Painful Bladder Syndrome/Interstitial Cystitis (IC) Voiding Dysfunction Pain, Pelvic/Perineal Animal Study
1. Stanford University, 2. University of Nebraska
Presenter
Links

Abstract

Hypothesis / aims of study
While the cause of interstitial cystitis (IC) is unknown, cellular and macroscopic urothelial changes have been characterized for many decades. Noted urothelial changes include increased solute permeability of the urinary bladder (causing pain) and decrease of urine-bladder barrier proteins including uroplakin and unique production of Frizzled-8 protein-related glycoprotein (antiproliferative factor). These changes lead to disruption of the bladder lining and slowing of the reparative process of the bladder wall, which is usually restored by cell replication and differentiation of basal cells.

Peroxisome proliferator-activated receptor gamma (PPAR-γ) agonists may offer a potential therapeutic benefit by restoring the urothelial integrity. In cell culture, PPAR-γ agonists have been shown to drive urothelial cells to differentiation and production of barrier proteins including uroplakin. This differentiation persists even when other growth factors such as epidermal growth factor are inhibited. We investigate the use of a PPAR-γ agonist, pioglitazone, as a potential reparative treatment for IC, which may offer a treatment that would target a known defect in urothelial architecture seen in patients with IC.
Study design, materials and methods
24 female Sprague-Dawley rats were used.  Baseline urinary frequency (filter paper test) and bladder capacity (via suprapubic PE-50 tubing, saline filling cystometry at 0.1 mL/min x 3 cycles) were measured. Using a previously described animal model for IC, 12 rats were treated with biweekly intraperitoneal cyclophosphamide injections (35 mg/kg) to induce cystitis. 12 rats were used as controls.  Animals were divided into 4 groups (n=6 for each group): IC plus daily sham saline gavage (IC+Pio-), IC plus daily pioglitazone gavage (15 mg/kg) (IC+Pio+), normal rats with daily pioglitazone (IC-Pio+), and normal rats with neither IC nor pioglitazone (IC-Pio- {Control}). At the end of four weeks, urinary frequency and bladder capacity were measured. Histologic examination of urothelial integrity was also performed.
Results
Average voids per hour were significantly lower in IC+Pio+ (4.0±1.9) vs. IC+Pio- (10.0±2.4) rats (p<0.01) and were similar to IC-Pio+ (6.0±1.4) and IC-Pio- (6.0±1.5) controls. Cystometric capacity was significantly higher in IC+Pio+ (0.945±0.122 mL) vs. IC+Pio- rats (0.588±0.165 mL, p=0.01) and was comparable to IC-Pio- capacity (0.817±0.196 mL) and IC-Pio+ capacity (0.941±0.188 mL). Urothelial structural integrity was improved in IC+Pio+ rats versus IC+Pio- rats upon histologic observation.
Interpretation of results
Pioglitazone is an FDA-approved medication used for treatment of diabetes mellitus.  Further investigation is prudent and warranted, as hypertrophy of the bladder endothelium has been demonstrated in rat models.. In observational studies a dose dependant risk of bladder cancer has been raised in diabetics taking pioglitazone orally, though studies have shown conflicting data, as highlighted in the recent FDA brief on Pioglitazone and bladder cancer.. 

To date, this is the first study to address possible treatment of IC with a PPAR-γ agonist. The study reliably demonstrated changes in the rat bladder physiology, hinting at a potential benefit to patients. The current study is limited as only the feasibility of an oral dose treatment was tested in an established animal model of disease. Future studies may answer if alternative routes of administration may provide an improved risk/benefit profile. For example, bladder instillation of pioglitazone metabolites may create a therapeutic effect and minimize systemic side effects. Additional investigation into the bladder surface protein changes would illuminate if structural bladder changes were noted with treatment, however, this was not possible with the current investigation. Moving from animal to human investigation would also provide more compelling evidence for future therapeutic use.
Concluding message
In a cyclophosphamide-induced model of IC, pioglitazone, a PPAR-γ agonist, improved bladder function. Cystometric capacity and urinary frequency (higher in rats with cystitis) were normalized following treatment with pioglitazone. In addition, the structural integrity of the urothelium was improved. While concern remains for the potential increase in urothelial carcinoma with long-term PPAR-γ agonist treatment, pioglitazone, which causes bladder mucosal proliferation, may prove useful for treating IC, and deserves further investigation.
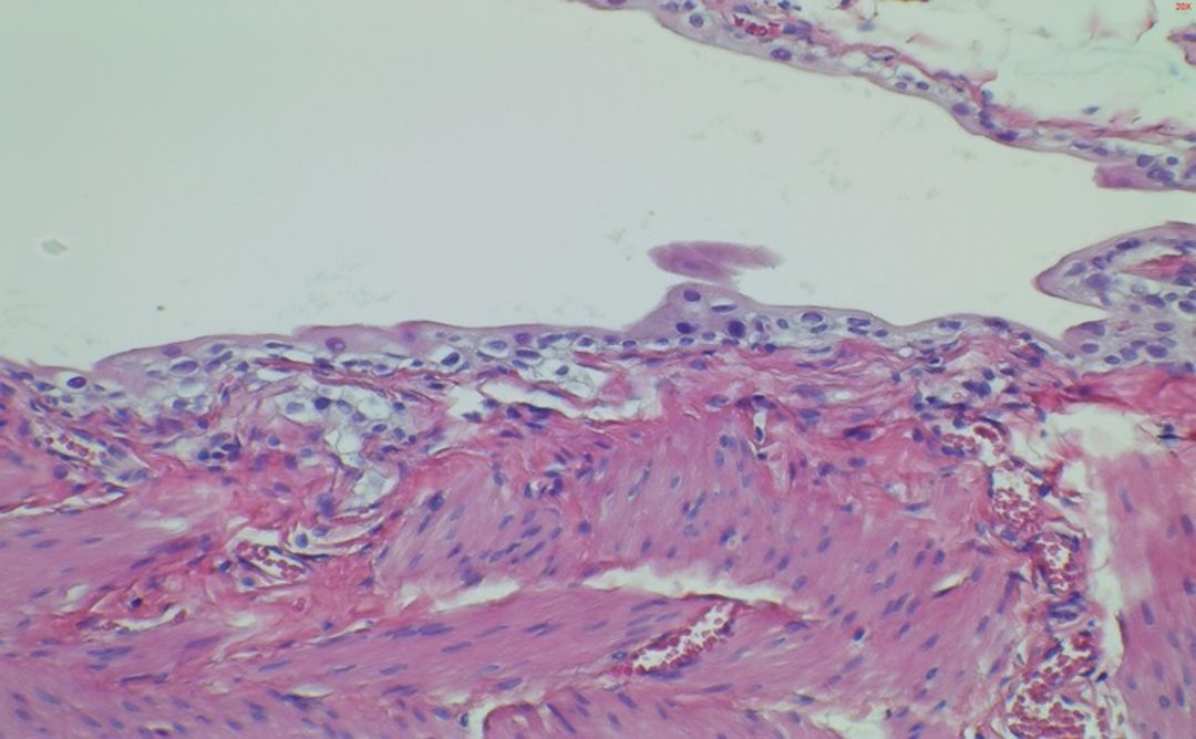
Figure 1 A loss of normal urothelium and barrier thinning (arrows) is appreciated in the IC+Pio- group.
Figure 2 The treated cystitis (IC+Pio+) group showed amelioration of the urothelium.
Disclosures
Funding : Dean’s Office, Stanford University School of Medicine Clinical Trial No Subjects Animal Species Rat Ethics Committee APLAC Stanford
26/10/2025 10:56:02