Prostatic urethral length, membranous urethral length and levator ani muscle thickness in preoperative MRI are associated with the risk of post-prostatectomy incontinence.

Muñoz Calahorro C1, Simón Nieto D2, García Sánchez C2, Parada Blázquez M2, López Arellano L2, Medina López R2

Research Type

Clinical

Abstract Category

Male Stress Urinary Incontinence (Post Prostatectomy Incontinence)

Abstract 141
Male Incontinence: What is in the Pipeline for Postprostatectomy Incontinence
Scientific Podium Short Oral Session 14
Thursday 24th October 2024
12:00 - 12:07
Hall N106
Anatomy Stress Urinary Incontinence Pelvic Floor Imaging
1. Hospital Universitario Infanta Elena, 2. Hospital Universitario Virgen del Rocío
Presenter
Links

Abstract

Hypothesis / aims of study
Post-prostatectomy incontinence (PPI) might be related to multiple preoperative factors, including clinicopathological, surgical and anatomical variables. While membranous urethral length has been widely associated with the risk of PPI, research on other anatomical measurements is limited. Our objectives were to analyse the association between preoperative measurements on MRI and the risk of PPI after robot-assisted laparoscopic radical prostatectomy (RALP), the time to continence recovery and the severity of PPI.
Study design, materials and methods
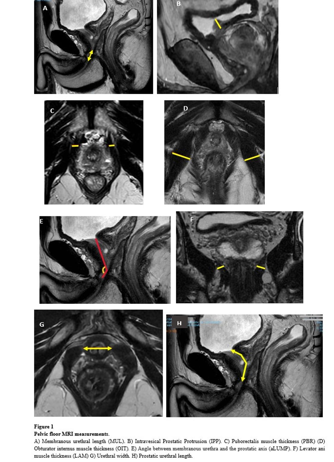
Prospective analysis of 57 patients undergoing RALP. All patients were advised to perform pelvic floor exercises. The MRI measurements studied included membranous urethral lenght, levator ani muscle thickness, prostatic urethral length, obturator internus muscle thickness, puborectalis muscle thickness, intravesical prostatic protrusion, urethral width, prostate volume, angle between membranous urethra and prostate axis and ratio levator ani/prostate volume (figure 1). 
Measurements were conducted by 2 urologists and 2 radiologists. Other patient baseline features were also analysed: age, BMI, history of LUTS and DM, ASA risk, ISUP grade, prostate cancer risk, radiological stage, surgeon experience, neurovascular preservation and pathological stage. Follow-up was made at 1,3,6 and 12 months using EPIC and ICIQ-SF questionnaires and a 24-hour pad-test. Incontinence was defined as the need to use pads, including a safety pad.
MRI measurements and baseline features were compared between continent and incontinent patients. Those with statistically significant differences were included in a multivariate logistic regression. The speed of continence recovery was also compared between the different measurements using a Cox regression. Finally, we studied if there was a correlation between the severity of the incontinence and the MRI measurements.
Results
The proportion of patients with PPI at 1, 3, 6 and 12 months after RALP was 85.2%, 72.2%, 55.8% and 38.8%.
Patients with PPI at one month had shorter membranous urethral length, with average 11.77 mm, Standard deviation (SD) 2.87 while patients without PPI had average length of 13.98 mm, SD 2.42;p=0.04. Patients with PPI also had shorter prostatic urethral length (average 44.04 mm, SD 6.28 vs 49.21, SD 5.91;p=0.04). In the multivariate logistic regression no statistically significant association was found. 

Incontinent patients at three months after RALP had shorter levator ani muscle (average 5.19, SD 0.64 vs 5.67, SD 0.86,p=0.03), shorter prostatic urethral length (average 43.63, SD 5.83 vs 47.90, SD 7.12,p=0.03), lower prostate volume [median 37.89 cc, interquartilic range (IQR) 33.18-49.7 vs 53.18 cc, IQR 39.64-61.47, p=0.03) and larger obturator internus muscle thickness (median 20.89 mm ,IQR 33.18-49.7 vs 18.74 mm, IQR 16.75-20.33,p=0.02). In the multivariate analysis, higher levator ani muscle thickness was associated with lower risk of incontinence (p=0.015,OR 0.255) and thicker OIT was associated with higher risk of PPI at three months (p=0.023, OR 1.65).

At 6 months patients with PPI had shorter membranous urethral length (median 10.62 mm,IQR 10.1-12.7 vs 12.24 mm,IQR 11.21-14.20),p=0.05. In the multivariate logistic regression an association was also found (OR=3.58, 95%CI 1.01-12.72).

Finally, at 12 months patients with urinary incontinence had thinner levator ani muscle (average 5.04 mm (SD 0.60), vs 5.50 mm (SD 0.80), p=0.039 and higher proportion of history of LUTS (63.2% vs 26.7%, p=0.01). In the multivariant logistic regression, both levator ani muscle thickness and the history of LUTS were associated with the risk of incontinence (OR=0.22, 95%CI 0.05-0.88),(OR=4.54, 95%CI 1.21-17.02).

Intravesical prostatic protrusion, the ratio levator ani/prostate volume, the puborectalis muscle thickness and the angle between membranous urethra and prostate axis were not associated with the risk of PPI (p>0.05). 

We found no statistically significant differences in age,BMI,history of LUTS, diabetes, ASA risk, preoperative ISUP, prostate cancer risk group, preoperative PSA,surgeon experience ,clinical and pathological stage,nerve preservation status and proportion of affected margins(p>0.05). 

In the final multivariate logistic regression analysis with repeated measures, every additional millimetre in levator ani muscle thickness was associated with a 64% reduction in the risk of incontinence (OR=0.36). Finally, each millimetre increase in prostatic urethral length resulted in a 0.5% reduction in the risk of incontinence (OR=0.94).

Longer membranous urethral length and thicker levator ani muscle were associated with faster continence recovery [HR 2.08(1.027-4.22) and 2.04(1.005-4.15)]. The remaining variables did not exhibit an association with the time to continence recovery (p>0.05) (figure 2).

Membranous urethral length exhibited a negative correlation with the severity of incontinence in pad-test scores throughout the follow-up period (Pearson coefficients at 1,3,6 and 12 months: -0.46, -0.36, -0.38, -0.30). Likewise, the prostatic urethral length showed a negative correlation with PPI severity at 3 months (Pearson coefficient with pad-test at 3 months -0.30).
Interpretation of results
In this research we introduce the prostatic urethral length as a novel preoperative MRI measurement that can be associated with the risk of PPI, marking the first study to identify such an association. Greater prostatic urethral length was also correlated with less severe incontinence at 3 months.

This study has also shown that greater membranous urethral length is associated with lower risk of PPI and faster continence recovery. This has already been demonstrated in numerous articles. Patients with greater membranous urethral length also exhibited less severe PPI throughout the follow-up period. 

Additionally, greater levator ani muscle was also associated with a reduced risk of PPI and a reduction in the time to continence recovery. To our knowledge, this is the first study to demonstrate this association. These results highlight the role of the levator ani muscle in preventing PPI, reinforcing the loss of sphincteric structures that occur after prostatectomy.
Concluding message
Membranous urethral length, prostatic urethral length and levator ani muscle play a key role in continence recovery following RALP.
Figure 1 Preoperative MRI measurements
Figure 2 Proportion of continent patients in the follow-up. MUL=Membranous urethral length. LAM=Levator ani muscle thickness.
Disclosures
Funding none Clinical Trial No Subjects Human Ethics Committee Comité de Ética de Hospital Virgen Macarena y Virgen del Rocío Helsinki Yes Informed Consent Yes
Citation

Continence 12S (2024) 101483
DOI: 10.1016/j.cont.2024.101483

17/03/2026 09:28:09