​Single subject fMRI mapping at 7T during stimulation of the female urogenital region: a pilot study

Frings D1, van der Zwaag W2, Blok B1

Research Type

Clinical

Abstract Category

Female Sexual Dysfunction

Abstract 95
Imaging
Scientific Podium Short Oral Session 10
Thursday 24th October 2024
09:30 - 09:37
Hall N106
Female Imaging Sexual Dysfunction Sensory Dysfunction
1. Department of Urology, Erasmus Medical Center, Rotterdam, The Netherlands., 2. Spinoza Centre for Neuroimaging, Royal Netherlands Academy of Arts and Sciences, Amsterdam, the Netherlands.
Presenter
Links

Abstract

Hypothesis / aims of study
The exact (sub)cortical representation of the urogenital organs is still not fully understood, especially in women. Additionally, data gathered in male subjects is usually extrapolated to females. This has lead to a wrong assumption of similarity between males and females and consequently a lesser understanding of female sexual health and disease. 

Functional MRI (fMRI) studies have shown conflicting results regarding the location of urogenital organ representations in the primary somatosensory cortex (S1), with some showing representation of the genitals in the medial wall of S1 just below the foot region, while others show brain activation more dorsolateral in the groin region of S1. This discrepancy may be due to the choice of stimulation method (e.g. tactile vs electrical stimulation). Another reason might be that the activation in the dorsolateral groin region of S1 is seen due to stimulation of the area around the urogenital organs.

Another relevant but often overlooked variable in neuroimaging of the urogenital region is the differentiation between tactile and affective or cognitive sensation. Tactile stimulation of areas such as the clitoris and areola in women are able to elicit erogenous sensations which elicit activation far beyond S1. Most studies either focus on S1 activation or do not find consistent significant activation in other relevant areas. Knowledge of these activation patterns may result in a greater understanding of disorders such as vulvodynia, pelvic pain syndrome and dyspareunia.

This study is, to our knowledge, the first study to evaluate the cerebral representation of the female urogenital using 7 Tesla (7T) fMRI. We hypothesize that we will find consistent cerebral representation of all target areas, and that the areas associated with affective sensation show significantly different activation patterns than areas associated with strictly tactile sensation.
Study design, materials and methods
Ethical approval was obtained for this study. Ten healthy female participants (ages 18-65) were included after having signed informed consent, and were then scanned in a 7T-MRI scanner (Philips Achieva) equipped with an 8Tx32Rx rf-coil (Nova Medical). Stimulation regions of interest were the clitoris, perineum, anus, left areola, and left medial foot as control (tibial nerve region). Two electrodes were placed on or directly adjacent to each investigated region. The strength for the electrical stimulation was determined for each region individually such that the subject clearly felt the stimulation without it being perceived as painful. 

MRI sessions consisted of a T1-weighted scan (MP2RAGE, 0.8 mm, TR/TE/TRvolume=6.2/2.3/5500 ms, TI1/TI2=800/2700 ms, FA = 7°/5°), and a task-based functional run per region (total of five functional runs). In each run, 240 3D-EPI volumes (1.8mm voxel size, TE/TRvol=17ms/1.3s, FOV=200*200*176mm) were acquired. Electrical stimulation was applied using a block design of fifteen 10-second repetitions consisting of 3-10 Hz ‘flickering’ pulses each followed by 10 seconds without stimulation. Stimuli were timed using a Psychtoolbox script.  

Data analysis was performed using SPM12 (Wellcome Trust UCL, London, UK), and data visualization was done using FSLeyes version 1.4.5 (FMRIB Centre, Oxford, UK). We identified activated regions at p<0.05 with family-wise error (FWE) correction.
Results
In individual subjects, we found consistent activation in S1, S2, Insula, prefrontal cortex, supramarginal gyrus and the posterior midcingulate cortex during stimulation of all urogenital regions. Activation of the anterior midcingulate cortex was mostly seen during stimulation of urogenital regions associated with affective sensation (anus, areola and clitoris). Activation in the hippocampus, amygdala and cerebellum was also seen. 

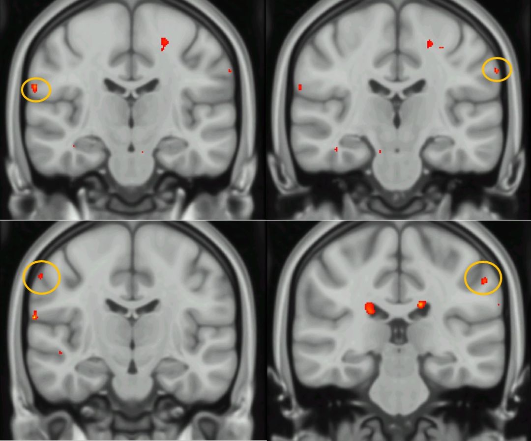
In S1, activation was seen in both the superomedial S1 and inferolateral S1 in both hemispheres during stimulation of the anus, perineum and clitoris (Figure 1). Of these, clitoris stimulation gave significantly bigger activation zones and more frequently in multiple regions of S1 simultaneously. Activation patterns during areolar stimulation in S1 were similar, however limited to the right hemisphere.

In S2, we saw consistent bilateral activation during stimulation of all regions in nearly all subjects, except for during clitoral stimulation, during which S2 activation was usually absent. For stimulation of the areola, activation zones were again overall significantly larger. S2 activation during stimulation of the foot also saw quite large activation zones which were seen bilaterally.

Activation of both the anterior and posterior insula was consistently seen during stimulation of the anus, areola and perineum. Insular activation was only seen in 2 participants during clitoral stimulation. In comparison, during stimulation of the medial left foot we consistently saw almost exclusively posterior insula activation. 

In our group analysis, we saw significant activation in S1 bilaterally during clitoral and anal stimulation, both in the inferolateral regions of S1 (Figure 2). No other stimulation regions saw significant activation in S1 (Figure 3). See Table 1 (Figure 3) for all significant clusters in group analysis.
Interpretation of results
This data shows sufficient sensitivity to map functional responses in individual female participants using electrical stimulation of the female clitoris, perineum, anus and areola. In S1, both the medial wall and the dorsolateral region of S1 showed significant activation in participants. These results largely agree with previous results in men. We also found that activation of regions associated with affective sensation shows much larger areas of activation  than strictly tactile stimulation regions (e.g. the foot).

In the insula, we found consistent anterior and posterior activation during stimulation of most urogenital zones. The insula is thought to be a central component in viscerosensory processing. Anterior insula activation is thought to be especially involved in affective sensation, as opposed to the posterior insula, which is mostly thought to process tactile sensation. 

These results do not correspond with classical depictions of the human somatosensory homunculus, further suggesting that human genitals, and mostly female genitals, are not located in this homunculus like previously thought.
Concluding message
This research shows the capability of 7T fMRI to functionally map the somatosensation of the female urogenital region in individual subjects.
Figure 1 Figure 1. Typical S1 activation patterns in individual participants. a) shows activation during electrical stimulation of the anus; b) of the left areola; c) of the clitoris; d) of the perineum
Figure 2 Figure 2. Activation in S1 for the group analysis during stimulation of the clitoris (top images) and anus (bottom images).
Figure 3 Table 1. Whole-brain group activation in response to stimulation versus rest. Brain regions, MNI coordinates and peak t-values are listed.
Disclosures
Funding No disclosures relevant to this study. Clinical Trial No Subjects Human Ethics Committee Erasmus MC METC Helsinki Yes Informed Consent Yes
Citation

Continence 12S (2024) 101437
DOI: 10.1016/j.cont.2024.101437

28/01/2026 00:50:39