The Role of Bladder Imaging with Shear Wave Elastography in the Diagnosis of Overactive Bladder in Women

Zoroğlu H1, Birişik Y2, Tarcan T3, Atılğan D1

Research Type

Clinical

Abstract Category

Female Lower Urinary Tract Symptoms (LUTS) / Voiding Dysfunction

Abstract 428
Open Discussion ePosters
Scientific Open Discussion Session 102
Thursday 18th September 2025
13:10 - 13:15 (ePoster Station 4)
Exhibition
Overactive Bladder Urgency/Frequency Imaging
1. Department of Urology, Tokat Gaziosmanpasa University School of Medicine, 2. Department of Radiology, Tokat Gaziosmanpasa University School of Medicine, 3. Department of Urology, Marmara University School of Medicine
Presenter
Links

Poster

Abstract

Hypothesis / aims of study
This original study aims to identify biomechanical changes in the bladder wall using ultrasonographic shear wave elastography (SWE) in the evaluation of female patients with overactive bladder (OAB) symptoms.
Study design, materials and methods
A total of 22 female patients (Group 1) aged 20 and 60 years who presented to the urology outpatient clinic with OAB symptoms between January 2024 and January 2025 and had not previously received any treatment, were included in the study. A control group of 25 healthy individuals (Group 2) without urological symptoms. Ultrasonographic parameters, age distribution, validated International Consultation on Incontinence Questionnaire-Short Form (ICIQ-SF) and, validated Overactive Bladder Questionnaire-V8 (OAB-V8) scores, bladder diaries, post-void residual urine volumes, uroflowmetry values and urinalysis results were recorded. The correlation between biomechanical parameters measured using sonoelastographic techniques and clinical diagnosis was analyzed. The measurements were taken with the patients in the supine position, ensuring that the bladder fullness was appropriate for measurement according to the patient's presentation. SWE was performed by an experienced radiologist using a Logiq E9 ultrasound device (GE Healthcare, Milwaukee, USA) with a 9L MHz probe in the B-mode plane and ARFI-based elastography with a circular 1x1 cm region of interest (ROI). Two evaluations were made from four bladder wall locations, yielding eight measurements per case. Measurements were recorded and compared between groups
Results
Both groups were analyzed based on demographic data, including age, body mass index (BMI), parity, and smoking status, and are presented in Table 1. It was observed that the BMI and parity were higher in the patient group (parity p=0.003, BMI p=0.068). OAB-V8 and ICIQ-SF scores showed significant differences between groups (p<0.001). Upon reviewing the bladder diary data, it was found that nocturia were higher in Group 1 (p<0.001), and the mean daily voiding frequency was 9.95±2.06. The analysis of bladder diaries indicated that the patient group was characterized by lower voided volumes and higher voiding frequencies. In uroflowmetric analysis, mean voided volume was 286.65±212.60 cc, Qmax was 28.06±12.81 mL/s and Qave was 14.12±5.45 mL/s in Group 1. No significant difference in post-void residual volumes (p>0.05). Mean symptom duration was 30.82±23.86 months in Group 1. At presentation, 45.5% of patients in Group 1 had urgency urinary incontinence (wet-type OAB), while 54.5% had no incontinence (dry-type OAB). SWE values showed that in Group 1, velocity was 1.11±0.18 m/s and stiffness was 3.98±0.99 kPa, whereas in Group 2, the velocity was 1.13±0.19 m/s and stiffness was 4.20±1.35 kPa (velocity p=0.71, stiffness p=0.71). A negative correlation was found between anterior stiffness and Qmax (p<0.001), anterior velocity and Qmax (p=0.016), and posterior velocity and Qmax (p=0.017). Positive correlations were observed between left lateral velocity and Qmax (p=0.045), and between left lateral stiffness and both Qave (p=0.026), Qmax (p=0.018). The bladder wall thickness 2.57 mm in Group 1 and 2.74 mm in Group 2 (p=0.435).
Interpretation of results
SWE is a method used to evaluate tissue elasticity in various organ pathologies (1). In this context, it also has potential applications in assessing bladder dysfunctions (2). In our study, ın patients with OAB, no statistically significant difference was found in the bladder wall velocity and stiffness values between both groups based on the elastographic measurements of the bladder wall. The significant correlations observed between elastographic measurements and Qmax and Qort in the detailed analysis of the bladder wall suggest that SWE could be an important diagnostic tool for detecting biomechanical changes in the bladder wall and predicting their relationship with disease severity.
Concluding message
SWE has the potential to contribute to treatment strategies and monitoring of therapeutic outcomes in patients with OAB. Further trials with larger populations are needed to assess its clinical utility in patients with OAB.
Figure 1 Demographic and Clinical Characteristics of Group 1 and Group 2
Figure 2 Correlation of Anterior, Posterior, and Lateral Velocities and Stiffness Values with Qave, Qmax, and Volume (Group 1)
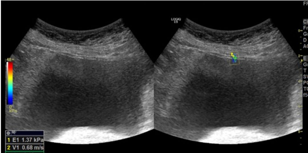
Figure 3 Shear Wave Elastography (SWE) measurements of the anterior wall (White arrow) in a 58-year-old female patient
References
  1. Sigrist RMS, Liau J, Kaffas A El, Chammas MC, Willmann JK. Ultrasound elastography: Review of techniques and clinical applications. Theranostics. 2017;7(5):1303–29.
  2. Simon V, Dudea SM, Crisan N, Stanca VD, Dudea-Simon M, Andras I, et al. Elastography in the Urological Practice: Urinary and Male Genital Tract, Prostate Excluded-Review. Diagnostics. 2022;12(7):1727.
Disclosures
Funding I didn't receive financial support Clinical Trial Yes Registration Number Tokat Gaziosmanpasa University School of Medicine RCT No Subjects Human Ethics Committee Tokat Gaziosmanpasa University Faculty of Medicine Clinical Trials Ethics Committee Helsinki Yes Informed Consent Yes
04/03/2026 04:00:06