Mapping of brain activity following transcutaneous poster tibial nerve stimulation for lower urinary tract symptoms in pediatric patients: A PET study

Ansari M1, YADAV D1, Arya A1

Research Type

Pure and Applied Science / Translational

Abstract Category

Paediatrics

Abstract 534
Open Discussion ePosters
Scientific Open Discussion Session 105
Friday 19th September 2025
12:35 - 12:40 (ePoster Station 2)
Exhibition
Pediatrics Voiding Dysfunction Neuromodulation
1. Sanjay Gandhi Postgraduate Institue of Mediacl Sciences, Lucknow, India
Presenter
Links

Poster

Abstract

Hypothesis / aims of study
Peripheral nerve stimulation via lumbosacral route has shown to modulate cortical and subcortical brain areas which seem to control the complex process of micturition, i.e. sensation of bladder filling and  the urge for    micturition.
The present study was conducted to investigate the changes in brain activity during modulation of various brain areas   after transcutaneous posterior tibial nerve stimulation (TcPTNS) for lower urinary tract symptoms (LUTS) in Pediatric patients
Study design, materials and methods
18 FDG PET was used to investigate the effects of TcPTNS on brain activity in pediatric patients with urodynamically proven    detrusor overactivity (DO) or underactive detrusor (UD). All the patient underwent weekly session for 30 minutes for 12 weeks (Induction therapy) followed by 3 weekly maintenance therapy. PET CT brain was done before the start of TcPTNS and at the end of induction therapy i.e. 3 months. The clinical outcome was assessed on the basis ICCs definition (Nevéus et al., Jr Urol 2006), along with improvement in the parameters in bladder diary, uroflow metry  and post void residual urine.
Results
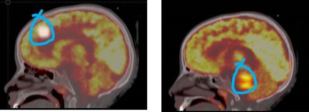
The study included 40 patients with median age of  5.6Yrs (range 4-16). of these 40, 24 (60%) had DO and 16 (40%) UD. In cases of detrusor overactivity TcPTNS decreased the activity in the mid-cingulate gyrus, hypothalamus, premotor cortex    and lateral pons (fig, 1a & b). These areas in brain are reported to be involved in the process of micturition.  On the contrary avid uptake was noted in lateral cingulate gyrus, mid pons and periaqueductal grey [PEG] in cases of underactive detrusor (UD) (fig. 2a). Hyper metabolism in these areas has been recorded during strong urge for micturition.
Based on ICCS) criteria, over all 24 (60%, 15 OAD, 9 UD) patients reported improvement in their symptoms. 
In cases of overactive bladder (n=15)   4 (26.7%) were completely cured, while 5 (33.3%) improved and 2 (13.3 %) had partial improvement. Four (26.7%) patients failed to show any clinical benefit. Interesting to note that in spite showing desired changes in the brain physiology 26.7% of the patient failed to show any clinical improvement.
In cases of underactive bladder 9 (50%) patients reported improvement, of these 2 (22.2%) were completely cure, while 1 (11.1%) improved and 2 (22.2 %) had partial improvement. Four (44.5%) of the patients were not benefited clinically.
In spite showing desired changes in the brain physiology 44.5% of the patient failed to show any clinical improvement. This shows that brain activation may not always translate in to successful clinical outcome.
Interpretation of results
In the present study, in cases of overactive bladder TcPTNS decreased the activity in the mid-cingulate gyrus, hypothalamus, premotor cortex    [more on right side] and lateral pons. It is interesting to note that these are the areas which actually modulate in integrated manner during the process of bladder filling i.e. facilitate storage (Das Gupta et al., Jr Urol 2005, Laura et al., Continence 2024).
Contrarily avid uptake was noted in lateral  cingulate gyrus, mid pons and periaqueductal grey [PEG] in cases of underactive detrusor.   Increased brain activity and hypermetabolism  in these areas has been recorded during strong urge or the act of micturition (Bhide et al., Int Urogynecol J
. 2019).
Concluding message
After TcPTNS therapy the focus of brain activation changes   according to the sense of bladder filling or voiding i.e. to overcome urge in cases of  DO and  to initiate  voiding  in cases of underactive detrusor.  Over all   60% of the patients reported improvement in their symptoms after TcPTNS.
Figure 1 18 FDG PET showing decreased activity in the mid-cingulate gyrus, Hypothalamus, premotor cortex [more on right side] and Lateral pons
Figure 2 Avid uptake was noted in lateral cingulate gyrus, mid pons and periaqueductal grey [PEG] in cases of underactive detrusor
References
  1. Nevéus et al. The standardization of terminology of lower urinary tract function in children and adolescents: report from the Standardization Committee of the International Children's Continence Society. J Urol. 2006 ;176(1):314-24.
  2. Das Gupta et al., Jr Urol 2005
  3. Bhide et al., Int Urogynecol J. 2019
Disclosures
Funding none Clinical Trial Yes Registration Number 2021/015278/CL RCT No Subjects Human Ethics Committee 2021--PET-101 Helsinki Yes
12/02/2026 03:51:34