Hypothesis / aims of study
Abstract
Kidney transplantation is the preferred treatment for end-stage renal disease (ESRD), offering better survival and quality of life compared to dialysis. However, post-transplant malignancies are a significant complication, with an increased risk of cancers, particularly skin, hematologic, and genitourinary malignancies. Renal cell carcinoma (RCC) is the most common genitourinary malignancy, occurring primarily in native kidneys but rarely in the allograft. RCC in the allograft is uncommon, with an incidence of 0.1%–0.5%, often linked to chronic immunosuppression. This report presents a case of a renal transplant recipient who developed sarcomatoid RCC in a rejected allograft with bone metastases.
Study design, materials and methods
Introduction
Kidney transplantation is the treatment of choice for ESRD, significantly improving patient outcomes. Lifelong immunosuppression is necessary to maintain graft function but increases the risk of malignancies, reported in 2%–31% of transplant recipients. RCC is the most prevalent genitourinary malignancy in transplant recipients, commonly occurring in native kidneys. The incidence of RCC in allografts is rare, estimated at 0.7%, with large-scale data indicating an incidence of 0.1%. This case highlights a rejected allograft presenting with sarcomatoid RCC and xantho-granulomatous inflammation.
Results
Case Presentation
A 53-year-old male presented with right lower abdominal pain, nausea, vomiting, and difficulty eating for two days. His medical history included ischemic colitis, paroxysmal atrial fibrillation, severe peripheral vascular disease, and a kidney transplant in 2008, which failed after four years due to focal segmental glomerulosclerosis (FSGS). He had since been on hemodialysis via a left brachio-basilic fistula. He also had secondary adrenal insufficiency due to chronic steroid use. Examination showed hemodynamic stability, but laboratory tests revealed an elevated creatinine level (5.2 mg/dL) and a markedly high CRP (224 mg/L).
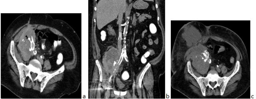
CT imaging revealed thickening of the cecum and ascending colon with surrounding fat stranding but no perforation. The rejected allograft displayed distorted architecture, fluid collections, air pockets in the iliopsoas muscle, and adherence to calcified iliac vessels, raising suspicion of xantho-granulomatous inflammation or malignancy. The patient was admitted to the ICU and treated with intravenous meropenem and vancomycin. Colonoscopy confirmed ischemic colitis. A multidisciplinary team recommended transplant nephrectomy due to the suspicious renal mass.
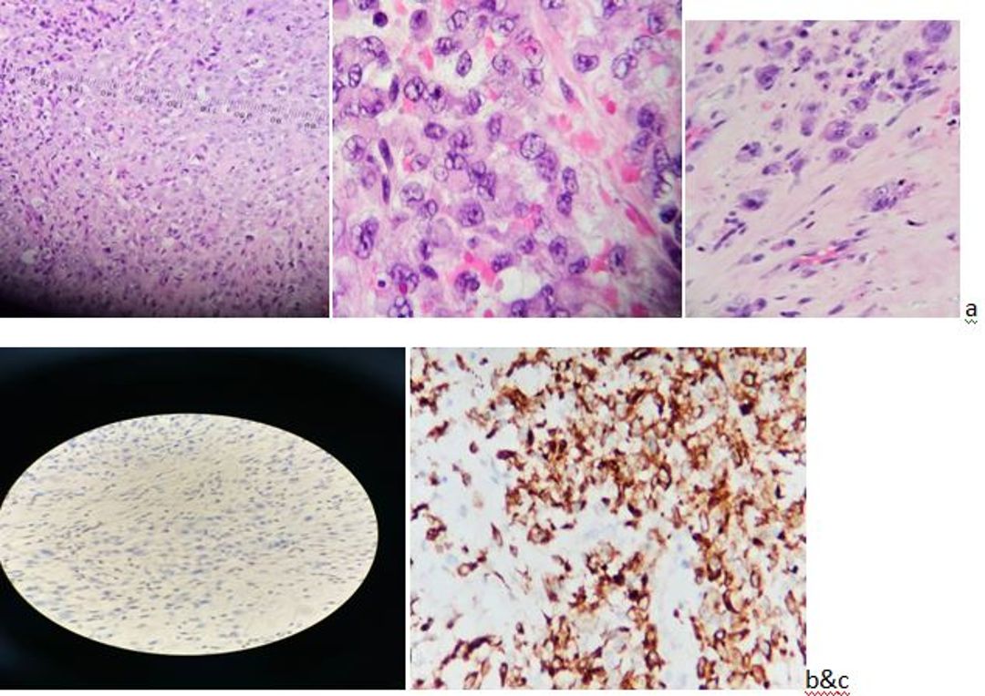
Surgical removal was challenging due to firm adhesions to the abdominal wall, psoas muscle, peritoneum, and iliac vessels. The majority of the graft was excised via a retroperitoneal approach, and histopathological analysis was conducted. Two weeks postoperatively, the patient developed a minor hematoma at the surgical site, managed with open drainage and antibiotics. Pathology confirmed xantho-granulomatous inflammation with sarcomatoid RCC features. Given the patient’s age and comorbidities, palliative care with adjuvant radiotherapy was advised.
Interpretation of results
Discussion
While kidney transplantation extends survival and quality of life, it increases malignancy risk due to chronic immunosuppression. RCC accounts for 5%–16% of post-transplant malignancies, primarily in native kidneys, whereas allograft RCC is much rarer. Risk factors include long-term immunosuppression, oncoviral infections, and environmental influences. Sarcomatoid differentiation is an aggressive variant of RCC, associated with poor prognosis.
Symptoms of allograft RCC vary but often include hematuria, acute kidney injury, pain, or systemic symptoms. In this case, the tumor developed 10 years post-transplant. The absence of standard guidelines for managing allograft RCC complicates decision-making. Treatment depends on tumor characteristics, function of the remaining kidney, and patient factors. Radical nephrectomy, nephron-sparing surgery, radiofrequency ablation, and surveillance are potential options. In this case, complete resection was difficult due to tumor infiltration.