A Diagnostic Dilemma: Adrenal Schwannoma Presenting as an Incidental Adrenal Tumor

Abdul Hamid T1, Yaser K1, Alhayek R1, Abo Alsel K1, Subramanian S1, Saeedi Y1

Research Type

Clinical

Abstract Category

Uro-Oncology

Abstract 881
Non Discussion ePosters - Case Reports
Scientific Non Discussion Poster Session 300
Surgery Anatomy Male
1. Dubai Health
Links

Abstract

Hypothesis / aims of study
Abstract

Adrenal schwannomas (AS) are rare tumors, comprising about 0.7% of adrenal neoplasms, often detected incidentally. Due to their non-specific imaging features and lack of endocrine dysfunction, definitive diagnosis relies on histopathology. This report presents a 72-year-old asymptomatic male with a 4.6 cm right adrenal mass, found to be nonfunctional. The lesion was resected robotically and confirmed as an adrenal schwannoma, highlighting diagnostic and therapeutic challenges.
Study design, materials and methods
Introduction

Schwannomas arise from Schwann cells and are typically found in the head, neck, and extremities. Adrenal schwannomas are exceptionally rare, comprising 1–3% of adrenal tumors. Preoperative diagnosis is difficult due to the absence of distinct imaging characteristics, making histopathology crucial. This case discusses a right adrenal schwannoma managed surgically due to size progression and malignancy concerns.
Results
Case Presentation

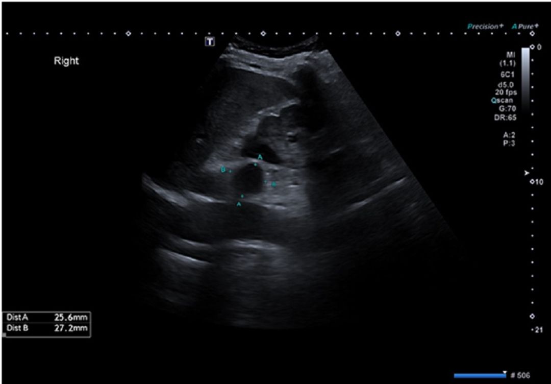
A 72-year-old male with diabetes mellitus and hypothyroidism, both well-managed, was referred after an incidental ultrasound finding of a 2.7 x 2.5 cm hypoechoic right adrenal nodule. He had no symptoms such as hypertension or Cushingoid features.

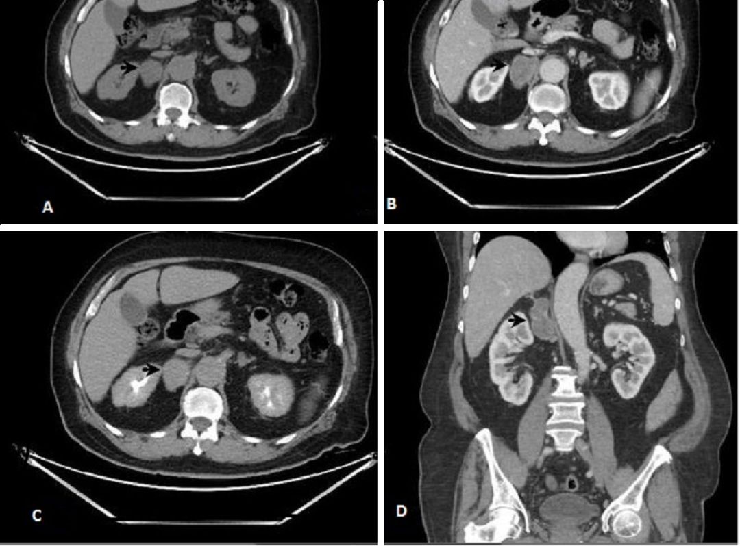
A follow-up CT scan showed a 4.2 x 3.5 x 6 cm heterogeneous right suprarenal mass with absolute washout of 40% and relative washout of 18.2%. Endocrine evaluation confirmed its nonfunctional nature. Due to tumor growth and malignancy concerns, a multidisciplinary team recommended surgical excision.

The patient underwent an uneventful robot-assisted right adrenalectomy and was discharged on postoperative day three. Histopathology revealed a well-circumscribed, solid, yellow-tan to gray-white mass measuring 4.9 x 2.6 x 2.9 cm. Immunohistochemical staining was positive for S100 and D2-40, confirming adrenal schwannoma. Follow-up surveillance was advised.
Interpretation of results
Discussion

Schwannomas, also called neurilemmomas, originate from Schwann cells. Retroperitoneal schwannomas are rare (5%), and adrenal schwannomas are even rarer (0.2%–0.5%). Most are benign and have no known etiology, though they may be associated with neurofibromatosis or Carney complex. Malignant transformation is rare.

Adrenal schwannomas are often detected in middle-aged individuals, with a slight female predominance. Most are incidentally found and nonfunctional, though larger tumors (>4 cm) may cause vague abdominal or flank pain. Imaging with CT and MRI is useful but cannot definitively differentiate schwannomas from malignancies.

Routine endocrine evaluation is essential before surgery. While rare cases of hormonal secretion exist, most AS, including this case, show no biochemical abnormalities. Histologically, schwannomas display Antoni A and Antoni B patterns, with S100 and vimentin positivity confirming the diagnosis.

Management depends on tumor size and malignancy risk. The NIH recommends resection for lesions >6 cm, observation for those <4 cm with benign features, and individualized decisions for 4–6 cm tumors. Literature suggests that tumors >4 cm have a higher malignancy risk, warranting surgical removal.

Despite diagnostic challenges, adrenal schwannomas have an excellent prognosis post-surgery. A review of 85 cases showed no recurrence or metastasis over a median 45-month follow-up. Our patient remains asymptomatic two months post-adrenalectomy, supporting the favorable surgical outcome. Given their rarity, adrenal schwannomas should be considered in the differential diagnosis of adrenal masses.
Concluding message
Adrenal schwannomas are rare benign tumors often discovered incidentally, resembling malignant adrenal lesions on imaging. Histopathology remains the gold standard for diagnosis. Surgical adrenalectomy is recommended for nonfunctional tumors >4 cm due to malignancy risk, with a robotic approach offering a minimally invasive option. Awareness among urologists and endocrinologists is crucial for accurate diagnosis and optimal management.
Figure 1 Figure 1: 2.5X2.7 cm hypoechoeic lesion in the right adrenal reported suspicious of adrenal adenoma
Figure 2 Figure 2 (A) Pre contrast phase; mass in right adrenal gland 30HU in non-contrast image; (B&D) mass enhancing to 55HU in porto venous phase; (C) persistent enhancement to 65HU in delayed phase
Figure 3 Intraoperative localisation of the adrenal tumor, and meticulous dissection
Disclosures
Funding nil Clinical Trial No Subjects Human Ethics not Req'd it is a case report
26/02/2026 04:21:45